Naši rezultati – prije i poslije Apolonije

Ortodontski aparatić samo je alat u rukama specijalista ortodoncije. Rezultati koje postižemo najbolje govore o našoj uspješnosti u liječenju raznih nepravilnosti zagriza kod svih uzrasta. Najbolji rezultati postižu se uz pažljivo planiranje i stručnu provedbu terapije. S druge pak strane, zubna protetika može uspješno vratiti funkcionalnost i estetiku već izgubljenih zubi. 

Zahvaljujući velikom iskustvu, ali i neprestanom usavršavanju u primjeni najnovijih stomatoloških postupaka, tehnologije i estetskih materijala, svojim pacijentima možemo zajamčiti vrhunske estetske rezultate. 

Dubok zagriz i obrnut prijeklop središnjeg sjekutića uspješno su izliječeni kod ove djevojčice.

Nedostatak prostora za nicanje svih trajnih zubi, križni zagriz s lijeve strane i pravovremeno usmjeravanje i stimulacija rasta gornje i donje čeljusti izbjegli su vađenje zubi i doveli do prelijepog osmijeha ovog dječaka.

 

Izražen nagib gornjih zubi kao kompenzacija uskog gornjeg luka i nedostatka prostora narušio je profil ove mlade pacijentice. Ove nepravilnosti, kao i prepoznatljivi položaj donjih sjekutića u “obliku buketa” kada nedostaje prostora veoma su uspješno liječeni fiksnom ortodontskom terapijom.

Prostor za smještanje gornjeg desnog očnjaka, križni zagriz s lijeve strane te disbalans između gornje i donje središnje linije liječeni su kod ove djevojčice Headger fiksnom ortodontskom terapijom.

Liječenje obrnutog prijeklopa zuba i izraženog rasta donje čeljusti kod gospodina srednje životne dobi, spriječili su daljnje pojačano i nepravilno trošenje prednjih zuba, popravili estetiku osmijeha i učinili ga ljepšim i privlačnijim.

Izražen rast gornje čeljusti s kašnjenjem rasta donje čeljusti, rezultirali su neskladom u profilu s izraženom gornjom usnicom i otežanim zatvaranjem usta. Rana i pravovremena ortodontska terapija u dječjoj dobi kojoj je cilj usklađivanje i usmjeravanje rasta gornje i donje čeljusti dovela je do ovako lijepih konačnih rezultata.

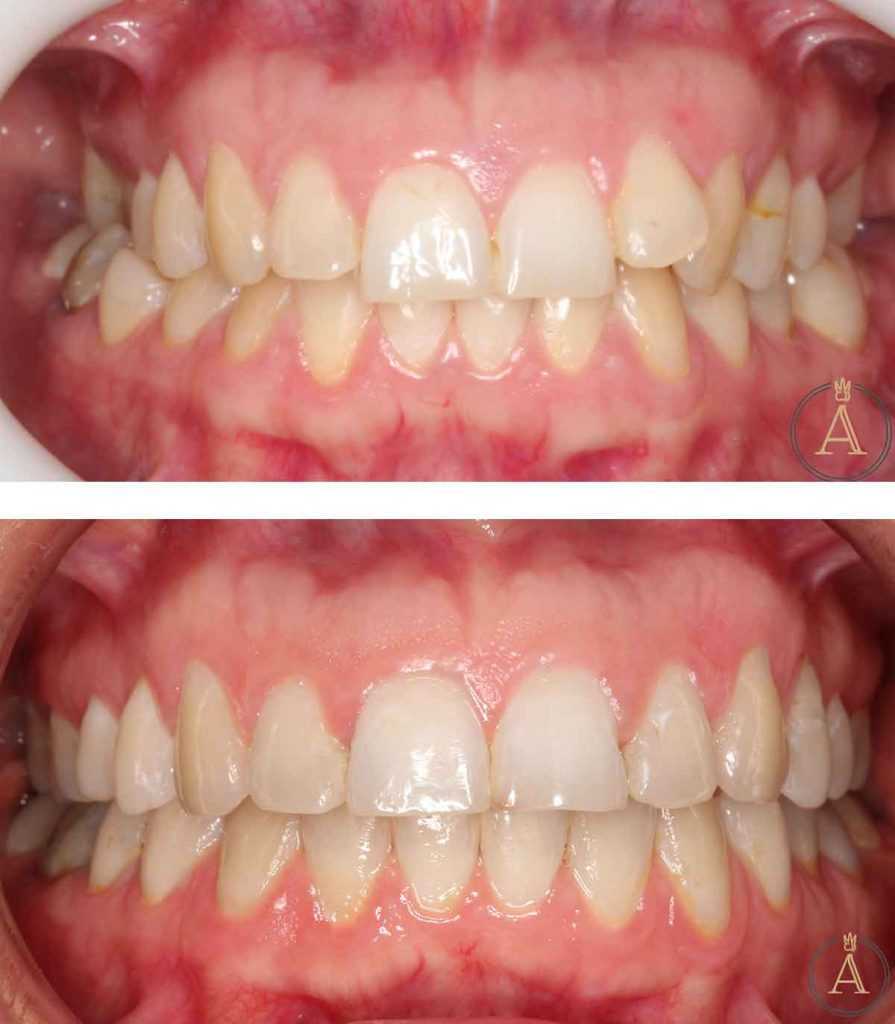
Jaka zbijenost i izrazito nepravilan položaj zuba kod ove pacijentice liječeni su fiksnom ortodontskom terapijom uz vađenje jednog zuba u svakom kvadrantu kako bi se dobio prostor za pravilan smještaj preostalih zubi.

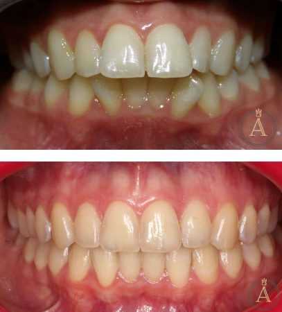
Dubok zagriz, rotacije i nepravilan položaj zuba liječeni su Invisalign ortodontskom terapijom.

Višestruki prostori između zuba su zatvoreni sa svega nekoliko Invisalign Aligner udlaga.

Nesrazmjer veličine čeljusti i zubi u korist veličine čeljusti te izražen nagib gornjih zubi prema naprijed promijenjeni su Invisalign ortodontskom terapijom.

Nakon što smo ortodontskom terapijom doveli zube mlade pacijentice u idealan zagriz, nedostatak kutnjaka nadomjestili smo implantatima, a nepovoljan oblik gornjih  lateralnih sjekutića korigirali smo keramičkim ljuskicama. Ortodontska terapija trajala je godinu i pol dana, a implanto-protetska faza 3 mjeseca.

Stomatološka poliklinika Apolonija Zagreb, centar: rezultati ugradnje zubnih implantata, implantiranje na mjestu kutnjaka, ortodontska terapija i keramičke ljuskice, prije-poslije.

U ovom zahtjevnom slučaju potrebna je bila protetska restauracija gotovo svih zubi. Pacijentici su nakon popravaka i liječenja zubi zaštićeni keramičkim ljuskicama na mjestu donjih sjekutića i keramičkim krunicama na gornjim zubima te gornjim i donjim kutnjacima i pretkutnjacima. Trajanje kompletne protetske rehabilitacije trajalo je mjesec dana.Stomatološka poliklinika Apolonija Zagreb, centar: primjeri estetske i funkcionalne zubne protetika, restauracija svih zubi, uz keramičke ljuskice i krunice, prije-poslije.

Pacijentu je zagriz korigiran kratkom ortodontskom pretprotetskom terapijom. Nakon ovakvog pristupa brušenje zuba za protetiku može biti puno poštednije te je pacijentov osmijeh uljepšan izbjeljivanjem i 4 keramičke ljuskice na gornjim sjekutićima.

Stomatološka poliklinika Apolonija Zagreb, centar: primjeri estetske i funkcionalne zubne protetika, ortodontska pretprotetska terapija, izbjeljivanje i keramičke ljuskice, prije-poslije.

Kako bi se pacijentovi izrazito oštećeni zubi sačuvali od propadanja gotovo sve zube (uz izuzetak drugih donjih molara koji su restaurirani kompozitnim ispunima) restaurirali smo keramičkim krunicama i keramičkim ljuskicama. Posebnu pažnju posvetili smo edukaciji pacijenta pravilnoj oralnoj higijeni kako bismo spriječili nepravilno četkanje koje dovodi do povlačenja zubnog mesa.

Stomatološka poliklinika Apolonija Zagreb, centar: primjeri estetske i funkcionalne zubne protetika, keramičke ljuskice, prije-poslije.

Zubna caklina mladog pacijenta bila je izrazito oštećena zbog česte konzumacije kiselih napitaka te smo zube odlučili zaštititi kombinacijom 6 keramičkih ljuskica na gornjim sjekutićima i kompozitnih ispuna na ostalim zubima. Pacijenta smo educirali o pravilnoj oralnoj higijeni kako bismo osigurali trajnost njegovih zubi, ali i protetskih nadomjestaka.

Pacijentu smo nakon detaljnog čišćenja zubnog kamenca i zamjene dotrajalih ispuna osmijeh uljepšali sa 10 keramičkih ljuskica u gornjoj čeljusti te smo zamijenili neadekvatni most u području donjih lijevih kutnjaka i pretkutnjaka. Pacijentove zube izbijelili smo u ordinaciji kako bismo protetske radove izradili u lijepoj boji koja odgovara mladoj osobi.

Ekstrakcijska fiksna ortodontska terapija, remodelacija recesije na lijevom očnjaku i u konačnici izbjeljivanje svih zubi doveli su do ovog prelijepog osmijeha.

Stomatološka poliklinika Apolonija Zagreb, centar: primjer poboljšanja estetike osmijeha, ortodontska terapija uz izbjeljivanje zubi, prije-poslije.

Pokrovan zagriz s previše vidljivim zubnim mesom u osmijehu (gummysmile) liječen je fiksnom ortodontskom terapijom s kojom je podignut zagriz. Po završetku ortodontske terapije učinjena je gingivoplastika na prednjim gornjim zubima kako bi zubi bili vidljiviji, a lijep bijeli ton dobiven je izbjeljivanjem svih zubi.

Stomatološka poliklinika Apolonija Zagreb, centar: primjer poboljšanja estetike osmijeha, korekcija pokrovnog zagriza, zubnog mesa te ortodontska terapija i izbjeljivanje zubi, prije-poslije.

Ekspanzija gornjeg i donjeg zubnog luka dok dijete raste najučinkovitija je metoda dobivanja prostora. Upravo ta metoda spriječila je vađenje trajnih zuba kod ove djevojčice i dovela do ovog lijepog i širokog osmijeha.

Stomatološka poliklinika Apolonija Zagreb, centar: primjer poboljšanja estetike osmijeha, ekspanzija gornjeg i donjeg zubnog luka, prije-poslije.

Invisalign ortodontska terapija, ljuskice na četiri gornja prednja zuba i izbjeljivanje preostalih zubi dovelo je do njihovog savršenog sklada i prelijepog osmijeha.

Stomatološka poliklinika Apolonija Zagreb, centar: primjer poboljšanja estetike osmijeha, Invisalign terapija, keramičke zubne ljuskice i izbjeljivanje zubi, prije-poslije.

Dubok zagriz i nepravilno nicanje zuba liječeni su fiksnim ortodontskom terapijom. Konačni rezultati dobiveni su još gingivoplastikom u gornjoj čeljusti, enameloplastikom rubova gornjih zuba i izbjeljivanjem.

Stomatološka poliklinika Apolonija Zagreb, centar: primjer poboljšanja estetike osmijeha, ortodontska terapija uz gingivoplastiku i enameloplastiku, prije-poslije.

Dubok zagriz i previše vidljivo zubno meso liječeni su Invisalign ortodontskom terapijom.

Stomatološka poliklinika Apolonija Zagreb, centar: primjer poboljšanja estetike osmijeha, Invisalign ortodontska terapija, prije-poslije.

Nepoklapanje gornje i donje središnje linije liječeno je Invisalign ortodontskom terapijom nakon čega je uslijedilo profesionalno izbjeljivanje zubi.

Stomatološka poliklinika Apolonija Zagreb, centar: primjer poboljšanja estetike osmijeha, ortodontska terapija i izbjeljivanje zubi, prije-poslije.

Dubok zagriz i obrnut prijeklop središnjeg sjekutića uspješno su izliječeni kod ove djevojčice.

Nedostatak prostora za nicanje svih trajnih zubi, križni zagriz s lijeve strane i pravovremeno usmjeravanje i stimulacija rasta gornje i donje čeljusti izbjegli su vađenje zubi i doveli do prelijepog osmijeha ovog dječaka.

Izražen nagib gornjih zubi kao kompenzacija uskog gornjeg luka i nedostatka prostora narušio je profil ove mlade pacijentice. Ove nepravilnosti, kao i prepoznatljivi položaj donjih sjekutića u “obliku buketa” kada nedostaje prostora veoma su uspješno liječeni fiksnom ortodontskom terapijom.

Prostor za smještanje gornjeg desnog očnjaka, križni zagriz s lijeve strane te disbalans između gornje i donje središnje linije liječeni su kod ove djevojčice Headger fiksnom ortodontskom terapijom.

Liječenje obrnutog prijeklopa zuba i izraženog rasta donje čeljusti kod gospodina srednje životne dobi, spriječili su daljnje pojačano i nepravilno trošenje prednjih zuba, popravili estetiku osmijeha i učinili ga ljepšim i privlačnijim.

Izražen rast gornje čeljusti s kašnjenjem rasta donje čeljusti, rezultirali su neskladom u profilu s izraženom gornjom usnicom i otežanim zatvaranjem usta. Rana i pravovremena ortodontska terapija u dječjoj dobi kojoj je cilj usklađivanje i usmjeravanje rasta gornje i donje čeljusti dovela je do ovako lijepih konačnih rezultata.

Jaka zbijenost i izrazito nepravilan položaj zuba kod ove pacijentice liječeni su fiksnom ortodontskom terapijom uz vađenje jednog zuba u svakom kvadrantu kako bi se dobio prostor za pravilan smještaj preostalih zubi.

Dubok zagriz, rotacije i nepravilan položaj zuba liječeni su Invisalign ortodontskom terapijom.

Višestruki prostori između zuba su zatvoreni sa svega nekoliko Invisalign Aligner udlaga.

Nesrazmjer veličine čeljusti i zubi u korist veličine čeljusti te izražen nagib gornjih zubi prema naprijed promijenjeni su Invisalign ortodontskom terapijom.

Nakon što smo ortodontskom terapijom doveli zube mlade pacijentice u idealan zagriz, nedostatak kutnjaka nadomjestili smo implantatima, a nepovoljan oblik gornjih  lateralnih sjekutića korigirali smo keramičkim ljuskicama. Ortodontska terapija trajala je godinu i pol dana, a implanto-protetska faza 3 mjeseca.

Stomatološka poliklinika Apolonija Zagreb, centar: rezultati ugradnje zubnih implantata, implantiranje na mjestu kutnjaka, ortodontska terapija i keramičke ljuskice, prije-poslije.

U ovom zahtjevnom slučaju potrebna je bila protetska restauracija gotovo svih zubi. Pacijentici su nakon popravaka i liječenja zubi zaštićeni keramičkim ljuskicama na mjestu donjih sjekutića i keramičkim krunicama na gornjim zubima te gornjim i donjim kutnjacima i pretkutnjacima. Trajanje kompletne protetske rehabilitacije trajalo je mjesec dana.

Stomatološka poliklinika Apolonija Zagreb, centar: primjeri estetske i funkcionalne zubne protetika, restauracija svih zubi, uz keramičke ljuskice i krunice, prije-poslije.

Pacijentu je zagriz korigiran kratkom ortodontskom pretprotetskom terapijom. Nakon ovakvog pristupa brušenje zuba za protetiku može biti puno poštednije te je pacijentov osmijeh uljepšan izbjeljivanjem i 4 keramičke ljuskice na gornjim sjekutićima.

Stomatološka poliklinika Apolonija Zagreb, centar: primjeri estetske i funkcionalne zubne protetika, ortodontska pretprotetska terapija, izbjeljivanje i keramičke ljuskice, prije-poslije.

Kako bi se pacijentovi izrazito oštećeni zubi sačuvali od propadanja gotovo sve zube (uz izuzetak drugih donjih molara koji su restaurirani kompozitnim ispunima) restaurirali smo keramičkim krunicama i keramičkim ljuskicama. Posebnu pažnju posvetili smo edukaciji pacijenta pravilnoj oralnoj higijeni kako bismo spriječili nepravilno četkanje koje dovodi do povlačenja zubnog mesa.

Stomatološka poliklinika Apolonija Zagreb, centar: primjeri estetske i funkcionalne zubne protetika, keramičke ljuskice, prije-poslije.

Zubna caklina mladog pacijenta bila je izrazito oštećena zbog česte konzumacije kiselih napitaka te smo zube odlučili zaštititi kombinacijom 6 keramičkih ljuskica na gornjim sjekutićima i kompozitnih ispuna na ostalim zubima. Pacijenta smo educirali o pravilnoj oralnoj higijeni kako bismo osigurali trajnost njegovih zubi, ali i protetskih nadomjestaka.

Pacijentu smo nakon detaljnog čišćenja zubnog kamenca i zamjene dotrajalih ispuna osmijeh uljepšali sa 10 keramičkih ljuskica u gornjoj čeljusti te smo zamijenili neadekvatni most u području donjih lijevih kutnjaka i pretkutnjaka. Pacijentove zube izbijelili smo u ordinaciji kako bismo protetske radove izradili u lijepoj boji koja odgovara mladoj osobi.

Ekstrakcijska fiksna ortodontska terapija, remodelacija recesije na lijevom očnjaku i u konačnici izbjeljivanje svih zubi doveli su do ovog prelijepog osmijeha.

Stomatološka poliklinika Apolonija Zagreb, centar: primjer poboljšanja estetike osmijeha, ortodontska terapija uz izbjeljivanje zubi, prije-poslije.

Pokrovan zagriz s previše vidljivim zubnim mesom u osmijehu (gummysmile) liječen je fiksnom ortodontskom terapijom s kojom je podignut zagriz. Po završetku ortodontske terapije učinjena je gingivoplastika na prednjim gornjim zubima kako bi zubi bili vidljiviji, a lijep bijeli ton dobiven je izbjeljivanjem svih zubi.

Stomatološka poliklinika Apolonija Zagreb, centar: primjer poboljšanja estetike osmijeha, korekcija pokrovnog zagriza, zubnog mesa te ortodontska terapija i izbjeljivanje zubi, prije-poslije.

Ekspanzija gornjeg i donjeg zubnog luka dok dijete raste najučinkovitija je metoda dobivanja prostora. Upravo ta metoda spriječila je vađenje trajnih zuba kod ove djevojčice i dovela do ovog lijepog i širokog osmijeha.

Stomatološka poliklinika Apolonija Zagreb, centar: primjer poboljšanja estetike osmijeha, ekspanzija gornjeg i donjeg zubnog luka, prije-poslije.

Invisalign ortodontska terapija, ljuskice na četiri gornja prednja zuba i izbjeljivanje preostalih zubi dovelo je do njihovog savršenog sklada i prelijepog osmijeha.

Stomatološka poliklinika Apolonija Zagreb, centar: primjer poboljšanja estetike osmijeha, Invisalign terapija, keramičke zubne ljuskice i izbjeljivanje zubi, prije-poslije.

Dubok zagriz i nepravilno nicanje zuba liječeni su fiksnim ortodontskom terapijom. Konačni rezultati dobiveni su još gingivoplastikom u gornjoj čeljusti, enameloplastikom rubova gornjih zuba i izbjeljivanjem.

Stomatološka poliklinika Apolonija Zagreb, centar: primjer poboljšanja estetike osmijeha, ortodontska terapija uz gingivoplastiku i enameloplastiku, prije-poslije.

Dubok zagriz i previše vidljivo zubno meso liječeni su Invisalign ortodontskom terapijom.

Stomatološka poliklinika Apolonija Zagreb, centar: primjer poboljšanja estetike osmijeha, Invisalign ortodontska terapija, prije-poslije.

Malene nepravilnosti i rotacije zubi korigirane su Invisalign kozmetičkom ortodontskom terapijom, a svjetliji ton zubi postignut je izbjeljivanjem.

Stomatološka poliklinika Apolonija Zagreb, centar: primjer poboljšanja estetike osmijeha, Invisalign i izbjeljivanje zubi, prije-poslije.

Nepoklapanje gornje i donje središnje linije liječeno je Invisalign ortodontskom terapijom nakon čega je uslijedilo profesionalno izbjeljivanje zubi.

Stomatološka poliklinika Apolonija Zagreb, centar: primjer poboljšanja estetike osmijeha, ortodontska terapija i izbjeljivanje zubi, prije-poslije.